首页 > 诊断

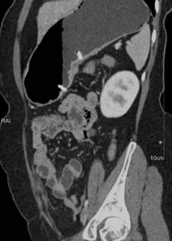
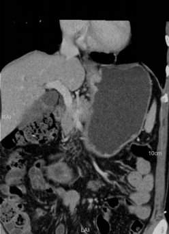
胃癌专科化CT检查及结构化报告
发布来源:西安附医中医医院 发布时间:2025-09-13

简介

胃癌患者术前进行专科化、规范化的CT扫描;进行结构化诊断报告书写,术前影像学分期报告。


技术特色

规范胃癌患者的CT扫描技术方案、诊断报告书写模式,提高胃癌术前分期诊断准确率,为临床制定治疗方案提供充分依据,与其他检查方法互补,实现个体化、精准医疗。


适应症

1.胃癌患者术前分期。

2.EMR/ESD治疗前检查。

3.不愿/不能行胃镜检查患者排查胃部病变。

4.胃癌患者的治疗后随访。


技术局限

1.胃手术前患者扫描需要大量饮水和肌注肌松剂, 患者有青光眼、排尿困难、消化道梗阻等疾病需要注意。

2.早期胃癌病变显示率不高。

3.不能行CT增强的患者。

胃癌专科化CT检查及结构化报告


胃癌专科化CT检查及结构化报告


胃癌专科化CT检查及结构化报告

上一篇: PET-CT分子影像诊断

下一篇: 径向超声支气管镜下肺组织者活检术(EBUS-GS-TBLB)